Iconic Smiles Dental Boutique is a modern dental practice where advanced technology meets genuine, patient-centered care. We believe dentistry should not only restore oral health, but also transform confidence and quality of life.
Led by Dr. Daniel Avezoff and Dr. Jacob J. Pleshty, our team specializes in cosmetic dentistry, dental implants, and full mouth rehabilitation — including complex All-on-X cases. Every treatment plan is personalized, every detail is intentional, and every patient experience is designed for comfort.
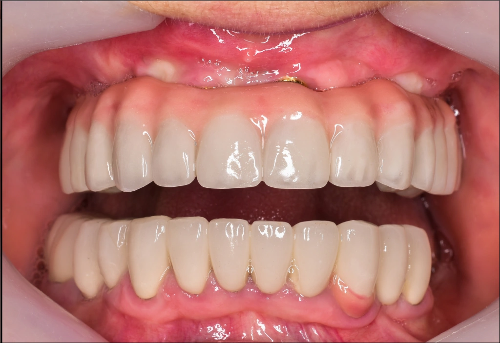
Replace an entire arch of missing teeth with a permanent, fixed bridge supported by 4 implants.
The perfect, natural-looking solution for replacing individual missing teeth without affecting adjacent teeth.
Advanced All-on-X solutions designed for patients with severe bone loss. No bone grafting required.
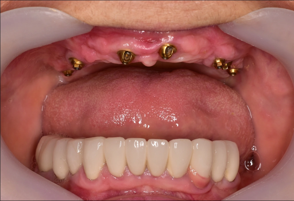
A secure, removable denture that snaps directly onto implants, offering superior stability and easy cleaning.
Because a beautiful smile changes how you see yourself — and how the world sees you.
From subtle cosmetic enhancements to complex full mouth restorations, we offer advanced dental solutions tailored to your smile, comfort, and lifestyle.
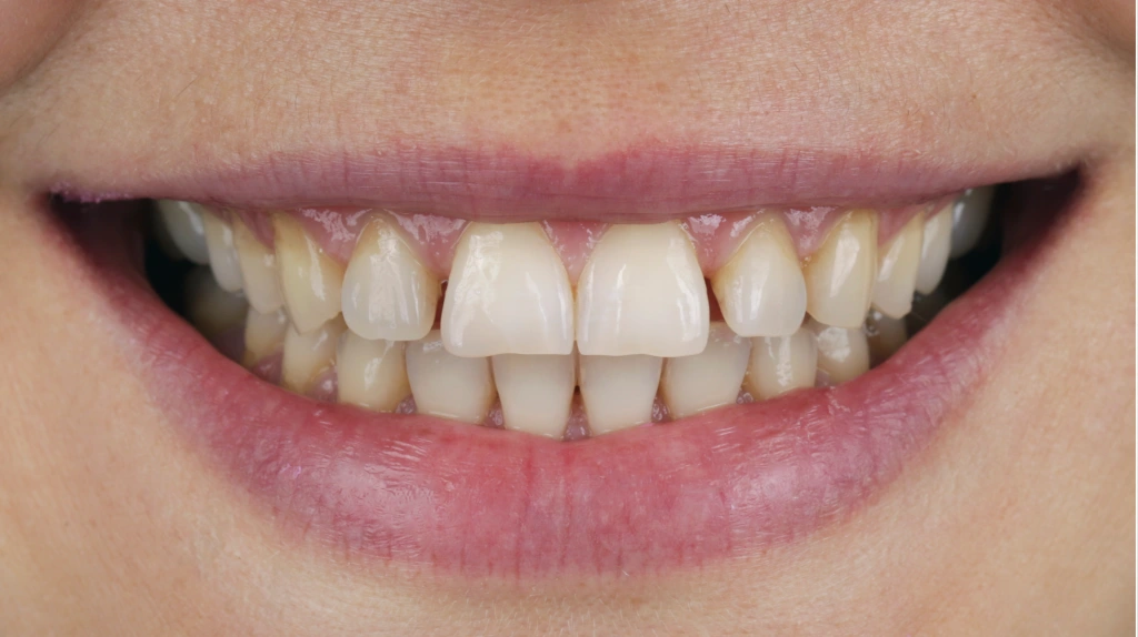
Cosmetic dentistry focuses on enhancing the beauty, balance, and harmony of your smile. From veneers and bonding to aesthetic restorations, we design smiles that look natural, confident, and uniquely yours.
Invisalign offers a discreet and comfortable way to straighten your teeth without metal braces. Using custom-made clear aligners, we gradually guide your teeth into proper alignment while allowing you to maintain your lifestyle and confidence.
Dental implants are the gold standard for replacing missing teeth. They function, look, and feel like natural teeth while preserving jawbone health and facial structure.
Dental emergencies require immediate attention and compassionate care. Whether you’re experiencing severe pain, infection, or dental trauma, our team is prepared to provide prompt relief and effective treatment.
See why our patients trust Iconic Smiles for life-changing transformations. Discover how our boutique approach gives patients confidence, happiness, and a reason to smile every day.
Posted on Jasmine SubrajTrustindex verifies that the original source of the review is Google. The staff are so amazing. Always so accomodating and considerate . Highly recommend!Posted on Walter RossTrustindex verifies that the original source of the review is Google. They do an amazing job, would definitely recommend Iconic Smile to anyone.Posted on LalonTrustindex verifies that the original source of the review is Google. Amazing receptionists that always care about the patients. Dentists and staff are outstanding in treatment. Very through in cleaning, and walk you through all the processes they’re gonna do. The best dentist I’ve ever been to in my 15 years of being a recipient of dental care.Posted on Arlene KatariaTrustindex verifies that the original source of the review is Google. Soraya and Diana were so kind and welcoming They are amazing. Dr Ilana has been the best dentist ive seen in so long. Extremely knowledgeable and helped fix a mistake a previous dentist made!Posted on Marcy LaredoTrustindex verifies that the original source of the review is Google. Best dental experience I have ever had. Staff was extremely warm and welcoming. Very accommodating, kind and caring. Dr. Pleshty was amazing. He is compassionate, gentle and down to earth. I cannot emphasize this enough. Office has been beautifully renovated with state of the art equipment and facilities. Highly recommend this practice.Posted on Asha KaurTrustindex verifies that the original source of the review is Google. Diana was extremely helpful and friendly. After not having my teeth checked for over 10 years, I felt completely comfortable and never judged. The entire team was supportive and informative, and I ended up getting a great deal on Invisalign 🙂 Soraya was especially helpful in securing a good rate, and both the hygienist and my doctor were wonderful. Overall, it’s a great facility with an amazing staff. I highly recommend it! Very clean very positive :)Posted on DianaTrustindex verifies that the original source of the review is Google. Modern & clean office really nice staff and great doctors. Highly recommend!!!Posted on Naveel HoneyTrustindex verifies that the original source of the review is Google. Great place, definitely recommend. Dianna you are so helpful. Thank youPosted on Shah GTrustindex verifies that the original source of the review is Google. Great experience. Soraya went above and beyond with explaining everything with insurance and treatment! I highly recommend themPosted on lisa funTrustindex verifies that the original source of the review is Google. Thank to Iconic Smiles Dr Jacob, Diana and Soraya for the amazing treatment in the office. If you're looking for a dentist that doesn't refer out I highly recommend them!
Benefit from years of experience and top-notch skills for comprehensive dental care.
Enjoy a welcoming atmosphere where your comfort and concerns take center stage.
Experience advanced treatments with state-of-the-art facilities and modern equipment.
From routine check-ups to specialized procedures, find all your dental needs met under one roof.
Expert care, modern technology, and personalized treatment plans designed for your best smile.
Explore expert advice, patient education, and the latest innovations in modern dentistry. Our blog is designed to help you make confident decisions about your oral health, cosmetic treatments, and long-term smile care.